10/31(火)スイス製ストローマンインプラント埋入
インプラントブログ

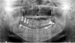
【60代 男性】
右下3番4番5番が欠損されている方でした。
CT画像を拝見すると十分な骨の確認が出来ましたので
スイス製ストローマンインプラントRN
直径4.1mm、長さ10mmを二本埋入させて頂きました。
二ヵ月後には最終補綴物を装着する予定です。
堺市のインプラント│湯川歯科医院
ブログ
インプラントブログ

【60代 男性】
右下3番4番5番が欠損されている方でした。
CT画像を拝見すると十分な骨の確認が出来ましたので
スイス製ストローマンインプラントRN
直径4.1mm、長さ10mmを二本埋入させて頂きました。
二ヵ月後には最終補綴物を装着する予定です。
インプラントブログ
この日は二症例のオペがありました。
まずは一症例目からご紹介致します。

【40代 女性】
こちらの方は右上5番、6番、7番が欠損している方でした。
CT画像を拝見すると上顎洞底骨が4mm程度しかなかったので
サイナスリフトを併用して
日本製AQBインプラント二回法を三本埋入させて頂きました。
五か月程経過を観察し型取りをする予定で終了致しました。
続いて二症例目をご紹介致します。

【40代 男性】
右上4番に以前埋入したAQBインプラントが一本残っており
右上3番、5番、6番、7番は動揺が著しく
4か月前に抜歯をしている方でした。
CT画像を拝見すると上顎洞底骨が3mm程度しかなかったので
右上2番を抜歯後、右上3番、6番、7番にサイナスリフトを併用し
日本製AQBインプラントを3本埋入させて頂き
この日のオペは終了致しました。
インプラントブログ

【30代 男性】
左上3、4、5、6番が欠損しており
欠損箇所にインプラント希望で来院された患者様でした。
CT画像を拝見すると
左上6番部の上顎洞底骨の厚みが5mm程でしたのでソケットリフトを計画。
計画通り左上6番部にはソケットリフトを併用し、オスフェリオンを填入。
スイス製ストローマンインプラントを3本埋入させて頂き終了致しました。
インプラントブログ

【40代 女性】
3日以内に仮歯を入れてほしいと来院された患者様でした。
口腔内を拝見すると上顎前歯部にグラグラの歯が5本程残っており
全て抜歯の必要性がありました。
またCT画像を拝見すると
左右上顎洞底骨の厚みが2mm程度しかありませんでした。
入れ歯の作成ではご希望のお日にちに間に合わないので
左右サイナスリフトを併用しインプラントを10本埋入
その後、即時に仮歯の作成を計画させて頂きました。
インプラント相談に来られた翌日に
計画させて頂いた通り左右サイナスリフトをし
C.G.Pを填入して日本製AQBインプラントを10本埋入し
即時に仮歯を作成させて頂きました。
約半年後に最終補綴物の型取りをする予定で終了致しました。
インプラントブログ

【40代 女性】
この日二症例目のオペでした。
こちらの方は左上4番が欠損しており
インプラントを希望され来院された患者様でした。
CT画像を拝見すると
上顎洞底骨の厚みが5mmほどでしたので
ソケットリフトを併用しオスフェリンを填入後
スイス製ストローマンインプラント スタンダードプラスRNの
直径4.1mm、長さ8mmを一本埋入させて頂き
本日のオペは終了いたしました。
インプラントブログ

【50代 女性】
右上4番、5番、6番、7番が欠損しており
インプラントをご希望で来院された患者様でした。
右上4番、6番、7番にインプラント埋入計画をして
CT画像を拝見すると右上4番は幅が狭窄しており
6番、7番部は上顎洞底壁が5mmほどでしたので
ソケットリフトを併用して
オスフェリオンを填入させていただき
スイス製ストローマンインプラント スタンダードタイプRNを
3本埋入させて頂きました。
5か月後には最終補綴物を装着する予定で本日は終了致しました。
インプラントブログ

【60代 女性】
右下6番、7番が欠損している方でした。
CT画像を拝見すると骨幅、骨の高さともに十分に確認できたので
スイス製ストローマンインプラント スタンダードプラスRN
直径4.1mm、長さ10mmを二本埋入させて頂きました。
二ヵ月後には最終補綴物を装着する予定で本日は終了致しました。
インプラントブログ

【60代 男性】
左上3番と右上6、7番だけが残存している状態の患者様でした。
CT画像を拝見すると
十分な骨幅、骨の高さを確認出来ましたので
スイス製ストローマンインプラント スタンダードプラスRNを
6本埋入させて頂きました。
4ヶ月間は入れ歯を使用して頂き、
その後、最終補綴物を作成する予定で本日は終了致しました。
インプラントブログ

【60代 男性】
右上4番を5ヶ月前、抜歯をした部位に
インプラントの埋入を計画している患者様でした。
以前は右下7番にインプラントを埋入させて頂きました。
CT画像を拝見すると骨幅、骨の高さ共に十分に確認出来ましたので
スイス製ストローマンインプラントのボーンレベルタイプ
直径4.1mm、長さ10mmを一本埋入させて頂きました。
4か月後には最終補綴物を装着させて頂く予定で本日は終了致しました。
インプラントブログ

【50代 男性】
左下2番から右下7番まで欠損しておられ、
上顎は右上6番まで歯が確認出来る方でした。
CT画像を拝見すると十分に骨幅、骨の高さともに確認できましたので
インプラント埋入を4本で計画させていただき
スイス製ストローマンインプラントスタンダードプラスRNを
埋入させていただきました。
左下欠損部位は本日はご希望ではなかったので
右側臼歯部からインプラントを埋入させて頂きましたが
今後、左側も進めさせていただく予定をしております。
二ヵ月後にはアンカードブリッジを装着させて頂く予定で本日は終了致しました。