8/24(木)マイティスアローインプラント埋入
インプラントブログ

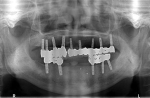
【50代 男性】
以前、当院で左上7番部にインプラントを埋入させて頂いた既往のある方でした。
左上6番がかなり動揺していたので抜歯をし、
4ヵ月経過したのでCT画像を拝見させていただきました。
十分に骨は再生しているようでしたが、
上顎洞底骨の厚みは4mmほどしかなかった為、
ソケットリフトを併用してオスフェリオンを填入後、
日本製マイティスアローインプラントB4008sfを埋入させて頂きました。
5ヵ月、または6ヵ月後に最終補綴物を装着させて頂く予定で終了致しました。












